کلینیک تخصصی کامپوزیت دندان در سعادتآباد – لبخند رویایی شما

کامپوزیت دندان در سعادتآباد؛ راهنمای کامل همراه با معرفی دکتر کوثر عزیزلو
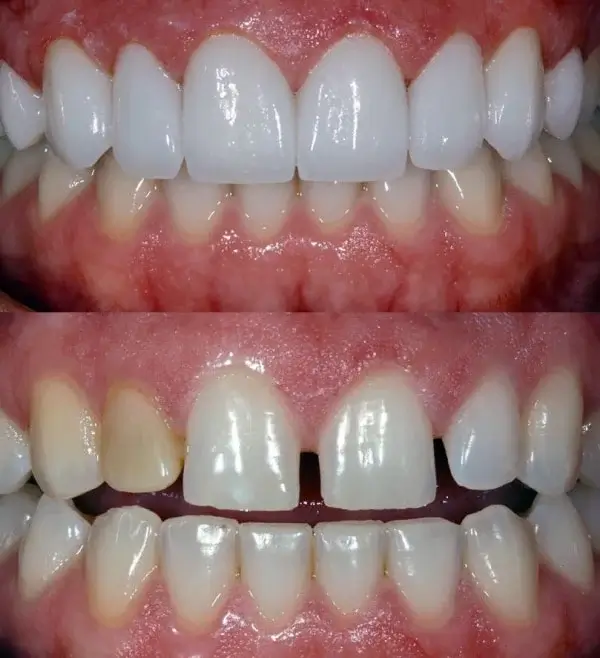
کامپوزیت دندان چیست و چه کاربردی دارد؟
کامپوزیت دندان یکی از محبوبترین روشهای ترمیمی و زیبایی در دندانپزشکی مدرن است. این روش با استفاده از موادی همرنگ دندان، به اصلاح فرم، رنگ و شکل دندانها کمک میکند. کامپوزیت بیشتر برای پر کردن فاصلههای میان دندانی (دیاسـتما)، تغییر رنگ دندانهای بدرنگ، اصلاح لبخندهای نامرتب و حتی ترمیم لبپریدگیها بهکار میرود.
ویژگی مهم کامپوزیت این است که در بیشتر موارد بدون تراشیدن مینای دندان انجام میشود، بنابراین آسیبی به بافت اصلی دندان نمیزند و در عین حال نتیجهای طبیعی و چشمگیر دارد.
مزایای کامپوزیت دندان نسبت به روشهای دیگر زیبایی
-
حفظ مینای دندان: برخلاف لمینتهای سرامیکی، نیازی به تراش دندان وجود ندارد یا در حد بسیار کم است.
-
قابلیت ترمیم آسان: اگر دندان دچار شکستگی یا تغییر رنگ شود، بخش آسیبدیده بهراحتی ترمیم میشود.
-
هزینه مناسبتر: نسبت به لمینت سرامیکی یا سایر روشهای زیبایی، مقرونبهصرفهتر است.
-
طبیعی و زیبا: تنوع رنگهای کامپوزیت باعث میشود با دندانهای طبیعی فرد هماهنگی کامل داشته باشد.
-
انجام در یک جلسه: در بسیاری از موارد، بیمار میتواند تنها طی یک یا دو جلسه درمان، لبخند ایدهآل خود را داشته باشد.
چه کسانی بهترین کاندیدای کامپوزیت دندان هستند؟
-
افرادی که دندانهای فاصلهدار دارند.
-
کسانی که رنگ دندانهایشان زرد یا قهوهای شده است.
-
افرادی که دندانهای لبپر، ترکخورده یا کوتاه دارند.
-
کسانی که تمایل دارند بدون تراش زیاد دندان، لبخندی زیبا داشته باشند.
-
بیمارانی که بهدنبال روشی سریع، کمهزینه و در عین حال مؤثر هستند.
البته همه افراد گزینه مناسب کامپوزیت نیستند؛ بهعنوان مثال کسانی که دندانقروچه شدید دارند یا بهداشت دهانی را رعایت نمیکنند، بهتر است ابتدا مشکلاتشان درمان شود.
مراحل انجام کامپوزیت دندان در کلینیک سعادتآباد
-
معاینه اولیه و مشاوره: در این مرحله دندانپزشک شرایط دندانها را بررسی میکند.
-
انتخاب رنگ مناسب: رنگ کامپوزیت بر اساس رنگ دندان طبیعی و سلیقه بیمار انتخاب میشود.
-
آمادهسازی سطح دندان: معمولاً بدون تراش یا با تراش جزئی.
-
قرار دادن مواد کامپوزیت: لایهلایه روی دندان قرار میگیرد.
-
شکلدهی و پولیش نهایی: دندانپزشک فرم نهایی را اصلاح کرده و سطح آن را صیقلی میکند.
در کلینیکهای مجهز سعادتآباد، این مراحل با دستگاههای پیشرفته و مواد درجه یک انجام میشود تا نتیجه نهایی ماندگار و طبیعی باشد.
مراقبتهای بعد از کامپوزیت برای ماندگاری بیشتر
-
پرهیز از خوردن خوراکیهای بسیار سفت مثل یخ یا آجیل با فشار زیاد.
-
کاهش مصرف مواد رنگی مثل قهوه، چای و سیگار.
-
استفاده منظم از مسواک و نخ دندان.
-
مراجعه دورهای به دندانپزشک برای چکاپ و پولیش دورهای.
با رعایت این نکات، طول عمر کامپوزیت میتواند بین ۵ تا ۱۰ سال باشد.
تفاوت کامپوزیت با لمینت دندان؛ کدام بهتر است؟
-
هزینه: کامپوزیت ارزانتر از لمینت است.
-
دوام: لمینت سرامیکی مقاومت بیشتری در برابر تغییر رنگ دارد.
-
زیبایی: هر دو روش زیبایی چشمگیر ایجاد میکنند، اما لمینت طبیعیتر و درخشانتر بهنظر میرسد.
-
زمان انجام: کامپوزیت در یک جلسه و لمینت در چند جلسه انجام میشود.
انتخاب نهایی به بودجه، شرایط دندان و نظر متخصص بستگی دارد.
هزینه کامپوزیت دندان در سعادتآباد چگونه محاسبه میشود؟
هزینه کامپوزیت به چند عامل بستگی دارد:
-
تعداد دندانهایی که نیاز به کامپوزیت دارند.
-
نوع و برند مواد مصرفی.
-
تجربه و مهارت دندانپزشک.
-
موقعیت کلینیک و تجهیزات مورد استفاده.
بهطور کلی، در سعادتآباد هزینهها کمی بالاتر از مناطق دیگر تهران است، اما کیفیت خدمات و ماندگاری نتایج باعث میشود انتخابی مطمئن باشد.
معرفی بهترین کلینیکهای تخصصی کامپوزیت دندان در سعادتآباد
یکی از نامهای معتبر در حوزه زیبایی دندان در سعادتآباد، دکتر کوثر عزیزلو است.
دکتر عزیزلو با تجربهای قابل توجه در زمینه دندانپزشکی زیبایی و ترمیمی، توانستهاند رضایت بیماران بسیاری را جلب کنند. ایشان با بهرهگیری از مواد کامپوزیت باکیفیت و بهروزترین تکنیکها، لبخندی طبیعی و زیبا برای بیماران طراحی میکنند.
ویژگیهای برجسته خدمات دکتر کوثر عزیزلو:
-
استفاده از کامپوزیتهای با دوام و رنگ طبیعی
-
توجه ویژه به فرم صورت و طراحی لبخند متناسب با هر فرد
-
مهارت بالا در اجرای درمانهای کمتهاجمی
-
ارائه مشاوره دقیق برای انتخاب بهترین روش زیبایی
رایجترین پرسشها درباره کامپوزیت دندان (سوالات متداول)
۱. کامپوزیت دندان درد دارد؟
خیر، این روش معمولاً بدون درد و بدون نیاز به بیحسی انجام میشود.
۲. طول عمر کامپوزیت چقدر است؟
بین ۵ تا ۱۰ سال، بسته به رعایت بهداشت و مراقبتهای فردی.
۳. آیا بعد از کامپوزیت میتوان غذاهای رنگی مصرف کرد؟
بله، اما مصرف بیش از حد نوشیدنیهای رنگی میتواند باعث تغییر رنگ شود.
۴. امکان برداشتن کامپوزیت وجود دارد؟
بله، در صورت نیاز میتوان آن را برداشت یا تعویض کرد.
۵. چند جلسه برای کامپوزیت نیاز است؟
در بسیاری از موارد تنها یک جلسه کافی است.
جمعبندی؛ چرا کامپوزیت دندان انتخابی هوشمندانه است؟
کامپوزیت دندان روشی سریع، ایمن و مقرونبهصرفه برای اصلاح لبخند است. اگر به دنبال لبخندی زیبا، طبیعی و بدون آسیب به مینای دندان هستید، کامپوزیت میتواند بهترین گزینه باشد.
در سعادتآباد، دکتر کوثر عزیزلو با ارائه خدمات تخصصی و بهرهگیری از متدهای روز دنیا، لبخند رویایی شما را به واقعیت تبدیل میکنند.

