مراحل انجام لمینت دندان در کلینیک دکتر عزیزلو در سعادتآباد

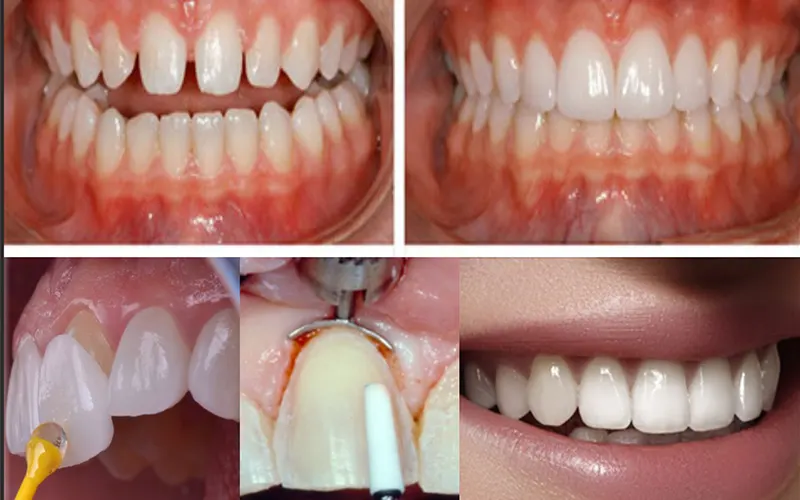
لمینت دندان یکی از محبوبترین روشهای اصلاح طرح لبخند و افزایش زیبایی دندانها است که با پوشاندن سطح جلویی دندان، رنگ، فرم و ظاهر دندانها را به شکلی چشمگیر و طبیعی بهبود میدهد. نکته مهم این است که برای داشتن نتیجهای جذاب، طبیعی و ماندگار، انتخاب دندانپزشک متخصص و کلینیک معتبر نقش بسیار مهمی دارد.
کلینیک دندانپزشکی دکتر عزیزلو در سعادتآباد با بهرهگیری از تکنیکهای روز، مواد باکیفیت و فناوری دیجیتال، فرایند لمینت دندان را با دقت و استاندارد بالا انجام میدهد. در این مقاله مراحل انجام لمینت در این کلینیک را به طور کامل بررسی میکنیم تا با روند درمان آشنا شوید.
لمینت دندان چیست؟
لمینت دندان پوستهای نازک و محکم از جنس سرامیک یا کامپوزیت است که روی سطح دندان قرار میگیرد. این پوستهها بهگونهای طراحی و نصب میشوند که ظاهر دندانها را سفیدتر، مرتبتر و زیباتر کنند.
لمینتها بهترین گزینه برای اصلاح موارد زیر هستند:
- تغییر رنگ دندانها
- بدفرمی و لبپریدگی دندان
- فاصله بین دندانها
- کوتاهی یا عدم تناسب دندانها
- لبخند نامنظم
کلینیک دکتر عزیزلو علاوه بر لمینت سرامیکی، امکان انجام لمینت بدون تراش را نیز برای موارد مناسب فراهم کرده است.
مراحل انجام لمینت دندان در کلینیک دکتر عزیزلو
اجرای لمینت یک فرآیند تخصصی است که نیاز به دقت، مهارت و هنر دارد. مراحل درمان در کلینیک دکتر عزیزلو شامل موارد زیر است:
1. مشاوره و ارزیابی اولیه
اولین مرحله، جلسه مشاوره حضوری است. در این جلسه موارد زیر بررسی میشود:
- بررسی سلامت لثه و دندانها
- ارزیابی فرم لبخند و نسبت دندانها
- تحلیل رنگ و ساختار مینای دندان
- ثبت انتظارات و خواستههای بیمار
در صورت نیاز، درمانهای اولیه مانند جرمگیری یا ترمیم پوسیدگیها قبل از لمینت انجام میشود. هدف این مرحله، برنامهریزی دقیق برای بهترین نتیجه نهایی است.
2. اسکن دیجیتال و طراحی لبخند (Digital Smile Design)
کلینیک دکتر عزیزلو از سیستم اسکن دیجیتال و طراحی لبخند استفاده میکند. با این تکنولوژی:
- فرم لبخند به صورت سهبعدی بررسی میشود
- تناسب لبخند با فرم صورت و زاویه لبها تحلیل میشود
- نتیجه نهایی قبل از شروع درمان به بیمار نشان داده میشود
این مرحله باعث کاهش خطا، افزایش دقت و طراحی لبخند کاملاً اختصاصی میشود.
3. آمادهسازی دندانها (در صورت نیاز)
در این مرحله بسته به نوع لمینت، ممکن است کمی تراش مینای دندان انجام شود. مقدار تراش بسیار ظریف و سطحی بوده و تنها برای ایجاد فضا جهت قرارگیری لمینت انجام میشود.
اگر بیمار کاندید لمینت بدون تراش باشد، این مرحله حذف میشود و مینای دندان دستنخورده باقی میماند.
4. قالبگیری دقیق و ارسال به لابراتوار
پس از آمادهسازی، از دندانها قالب دقیق گرفته شده و به لابراتوار تخصصی ارسال میشود. در لابراتوار، لمینتها با ظرافت بالا و بر اساس فرم لبخند و انتخاب رنگ بیمار ساخته میشوند.
در این فاصله، لمینتهای موقت برای بیمار نصب میشود تا فرم لبخند و عملکرد گفتار و غذا خوردن مشکلی نداشته باشد.
5. انتخاب رنگ و تست اولیه لمینتها
پس از آماده شدن لمینتها، بیمار برای تست مراجعه میکند. در این مرحله:
- رنگ لمینتها با پوست و فرم صورت بیمار هماهنگ میشود
- اندازه و ضخامت آنها بررسی میشود
- امکان اصلاح فرم قبل از نصب نهایی وجود دارد
این مرحله یکی از تفاوتهای مهم کلینیک دکتر عزیزلو است؛ زیرا تا رسیدن به نتیجه ایدهآل، اصلاحات دقیق انجام میشود.
6. نصب نهایی لمینتها با چسبهای تخصصی
پس از تایید نهایی، لمینتها با چسبهای دندانپزشکی مخصوص روی دندانها فیکس میشوند. مراحل نصب شامل:
- تمیزکاری سطح دندان
- آمادهسازی با مواد باندینگ
- نصب و تثبیت لمینت با نور مخصوص
این مرحله کاملاً بدون درد و بسیار دقیق انجام میشود.
7. پولیش و بررسی نهایی لبخند
در این مرحله:
- لمینتها پولیش نهایی میشوند
- تطابق لبهها با لثه بررسی میشود
- فرم نهایی لبخند تنظیم میگردد
اگر تنظیمات جزئی در گاز زدن لازم باشد، در همین جلسه انجام میشود.
8. آموزش مراقبت و تعیین زمان ویزیت دورهای
پس از نصب لمینتها، توصیههای مراقبتی به بیمار ارائه میشود، مانند:
- نحوه صحیح مسواک زدن
- پرهیز از شکستن مواد سخت با دندان
- استفاده از نخ دندان
- مراجعه دورهای جهت چکاپ و مراقبت
ماندگاری لمینتهای باکیفیت ۱۰ سال و حتی بیشتر است، به شرط مراقبت صحیح و مراجعه منظم.
چرا لمینت دندان را در کلینیک دکتر عزیزلو انجام دهیم؟
عواملی که این کلینیک را به یکی از انتخابهای برتر در سعادتآباد تبدیل کرده است:
- طراحی لبخند دیجیتال پیشرفته
- استفاده از لمینتهای سرامیکی درجه یک
- امکان انجام لمینت بدون تراش
- تکنیکهای ظریف و هنرمندانه در نصب
- دقت بالا در تطابق با ساختار صورت و لبها
- تجربه بالا و نمونهکارهای متعدد
- محیط حرفهای و تجهیزات مجهز
هدف اصلی کلینیک، ایجاد لبخندی طبیعی و هماهنگ با چهره بیمار است، بدون آنکه دندانها مصنوعی به نظر برسند.
نتیجهگیری
لمینت دندان یکی از بهترین روشها برای داشتن لبخندی روشن، مرتب و جذاب است. در کلینیک دکتر عزیزلو در سعادتآباد این روش با تجهیزات مدرن و با دقت بسیار بالا انجام میشود. طی مراحل حرفهای از طراحی تا نصب، بیمار به شکلی کاملاً اصولی و ایمن به فرم ایدهآل لبخند خود میرسد.
اگر به دنبال لبخندی زیبا و طبیعی هستید و میخواهید درمانی مطمئن و تخصصی داشته باشید، میتوانید برای مشاوره و رزرو وقت با کلینیک دکتر عزیزلو تماس بگیرید.

